A agenesia dentária é uma anomalia relativamente comum, com prevalência na dentição permanente variando entre 2,2% a 7,6%, sendo que os incisivos laterais superiores representam 22,9% das agenesias. Considerando a posição deste dente na arcada dentária, a agenesia do incisivo lateral superior possui impacto significativo na estética, na função e no equilíbrio oclusal.
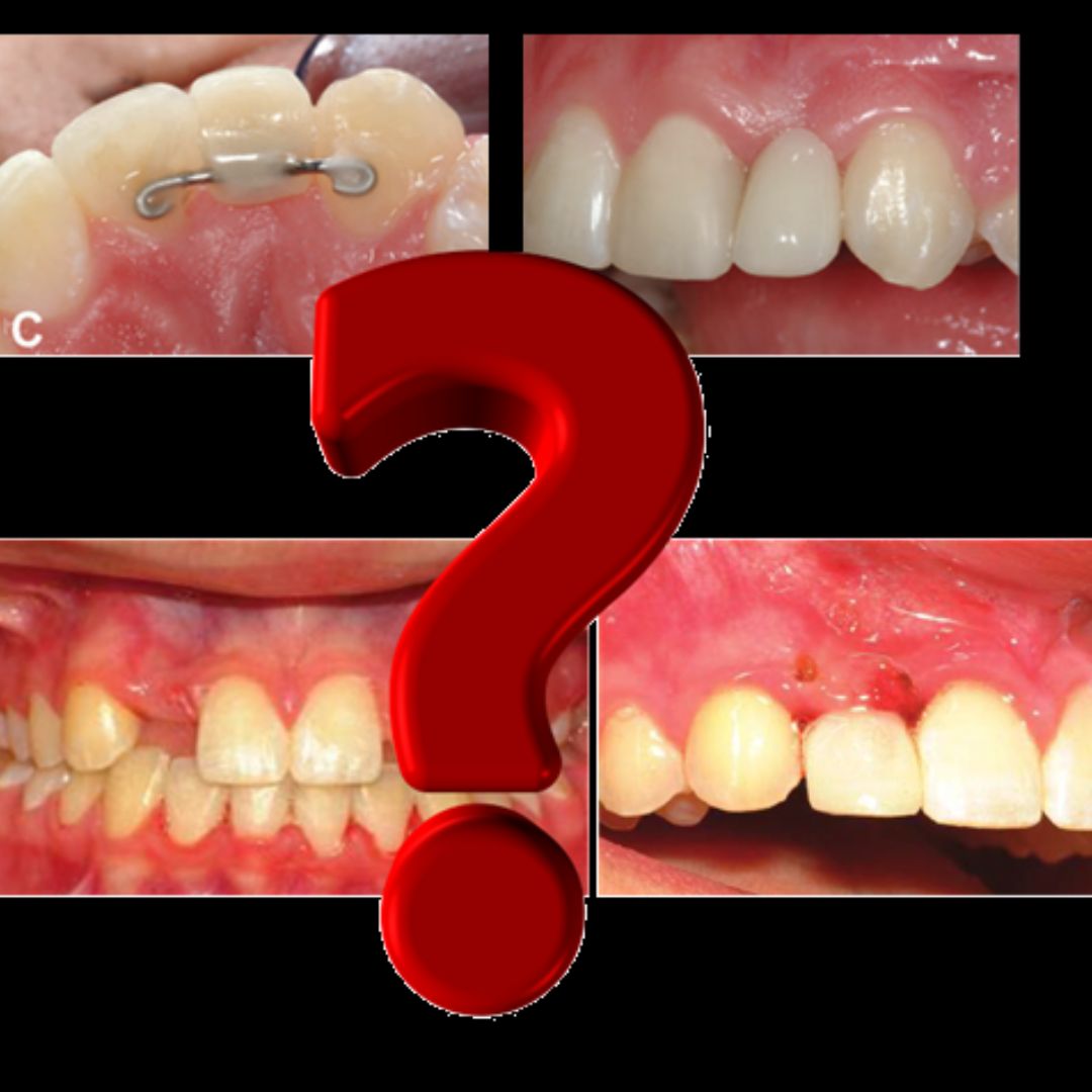
Ortodonticamente, podemos adotar 2 caminhos terapêuticos: o fechamento de espaço, por meio da mesialização dos dentes posteriores, ou a abertura de espaço, mantendo ou criando espaço para futura reabilitação protética, geralmente com implantes osseointegrados. Porém, a inserção de implantes osseointegrados requer que o paciente já tenha finalizado o crescimento ósseo. Em consequência, uma vez optado pela segunda abordagem. após o tratamento ortodôntico, precisamos preservar o espaço obtido através de próteses removíveis, próteses fixas ou, como sugerido mais recentemente, através de reabilitação com mini-implante ortodôntico e coroa estética (ROSA, 2022).
Entretanto, existe controvérsia em relação à inserção do mini-implante em áreas edêntula, pois, para uns, o mini-implante tem a capacidade de contribuir com a manutenção do osso alveolar na região edêntula (COPE, 2014), mas para outros, o osso alveolar perfurado pelo mini-implante não acompanha o crescimento vertical ósseo (KOKICH, 2011).
Referências:
- Rosa EGA et al. 2022. Indicação de implantes na substituição de dentes traumatizados. In: Amorim, LFG. Traumatismo em dentes decíduos e permanentes. Ciência na prática clínica. Santos.
- Cope JB, McFadden D. Temporary replacement of missing maxillary lateral incisors with orthodontic miniscrew implants in growing patients: rationale, clinical technique, and long-term results. J Orthod. 2014 Sep;41 Suppl 1:s62-74. doi: 10.1179/1465313314Y.0000000112. PMID: 25138368.
- Kokich VG, Swift EJ Jr. Temporary restoration of maxillary lateral incisor implant sites. J Esthet Restor Dent. 2011 Jun;23(3):136-7. doi: 10.1111/j.1708-8240.2011.00440.x. Epub 2011 May 9. PMID: 21649825.
Autora: CLAUDIA SCIGLIANO VALERIO
.jpg)

.jpg)


.png)

.jpg)
.jpg)

